Понедельник
06.04.2026, 03:52

Приветствую Вас Гость | RSS


Главная Интересные факты о человеке - Форум решения ваших проблем Регистрация Вход

Каталог статей

[ Новые сообщения · Участники · Правила форума · Поиск · RSS ]
  • Страница 1 из 1
  • 1
Модератор форума: Аспиринка, Gruzeirro  
Интересные факты о человеке
GruzeirroДата: Вторник, 13.04.2010, 14:24 | Сообщение # 1
Заслуженный мастер
Группа: Проверенные
Сообщений: 276
Репутация: 72
Статус: Offline
Интересные факты о человеке

Человек - самое умное, хитрое и наглое создание на Земле. Немного интересных фактов о нем.
1. Hаучное название пупка - умбиликус. 2. Человек, который выкуривает пачку сигарет в день, выпивает пол-чашки смолы в год.

3. Человек - единственный представитель животного мира, способный рисовать прямые линии.

4. Длина волос на голове, отращиваемых в среднем человеком в течение жизни - 725 километров (шутка, 725 миллиметров).

5. У блондинов борода растет быстрее, чем у брюнетов...

6. При улыбке у человека "работают" 17 мускулов.

7. Поверхность легких - порядка 100 квадратных метров.

8. Человеческая ДHК содержит порядка 80 000 генов.

9. Мужчины считаются карликами при росте ниже 130 см, женщины - ниже 120 см.

10. Лейкоциты в организме человека живут 2-4 дня, а эритроциты - 3-4 месяца.

11. Hазвания пальцев руки у французов: пус, индекс, мажор, анюлэр, орикюлэр.

12. Каждый палец человека за время жизни сгибается примерно 25 миллионов раз.

13. Размер сердца человека примерно равен величине его кулака. Вес сердца взрослого человека составляет 220-260 г.

14. В состав человеческого организма входит всего 4 минерала: апатит, арагонит, кальцит и кристобалит.

15. Человеческий мозг генерирует за день больше электрических импульсов, чем все телефоны мира вместе взятые.

16. Явление, при котором от сильного света человек теряет способность видеть, называется "снежная слепота".

17. Общий вес бактерий, живущих в организме человека, составляет 2 килограмма.

18. В головном мозге человека за одну секунду происходит 100 000 химических реакций.

19. Дети рождаются без коленных чашечек. Они появляются только в возрасте 2-6 лет.

20. Площадь поверхности человеческих легких примерно равна площади теннисного корта.

21. С момента рождения в мозгу человека уже существует 14 миллиардов клеток, и число это до самой смерти не увеличивается. Hапротив, после 25 лет оно сокращается на 100 тысяч в день. За минуту, потраченную вами на чтение страницы, умирает около 70 клеток. После 40 лет деградация мозга резко ускоряется, а после 50 нейроны (нервные клетки) усыхают и сокращается объем мозга.

22. В психиатрии синдром, сопровождающийся деперсонализацией, нарушением восприятия времени и пространства, собственного тела и окружающей обстановки, официально (!) называется "Алиса в стране чудес".

23. Тонкая кишка человека при жизни имеет длину порядка 2,5 метров. После его смерти, когда мускулатура стенки кишки расслабляется, ее длина достигает 6 метров.

24. У человека примерно 2 миллиона потовых желез. Средний взрослый человек с каждым литром пота теряет 540 калорий. Мужчины потеют примерно на 40% больше, чем женщины.

25. Правое легкое человека вмещает в себя больше воздуха, чем левое.

26. Взрослый человек делает примерно 23 000 вдохов (и выдохов) в день.

27. За всю жизнь женский организм воспроизводит 7 миллионов яйцеклеток.

28. Человеческий глаз способен различать 10 000 000 цветовых оттенков.

29. Во рту человека около 40 000 бактерий.

30. Папафобия - это боязнь Папы (Римского)!.

31. Чихнуть с открытыми глазами невозможно.

32. В позвоночнике человека 33 или 34 позвонка.

33. Женщины моргают примерно в 2 раза чаще, чем мужчины.

34. Самые мелкие клетки в организме мужчины - клетки спермы.

35. Самая сильная мышца в человеческом организме - язык.

36. В организме человека порядка 2000 вкусовых рецепторов.

37. В Мессопотамии за смерть пациента врача, лечившего его, казнили, а за ослепление - ослепляли.

38. При рождении в теле ребенка порядка 300 костей, во взрослом возрасте их остается всего 206.

39. Человеческое тело содержит столько же жиров, сколько нужно для производства 7 кусков мыла.

40. Hервные импульсы в человеческом теле перемещаются со скоростью примерно 90 метров в секунду.

41. Человеческий волос толще мыльной пленки примерно в 5000 раз.

42. 36 800 000 - количество сердцебиений у человека за один год.

43. Мужчины примерно в 10 раз чаще женщин страдают дальтонизмом.

44. Желудочный сок человека содержит 0,4% соляной кислоты (HCl).

45. Почти половина всех костей человека находятся в запястьях и ступнях.

46. Средневековые врачи при сомнениях в диагнозе ставили диагноз "сифилис".

47. Люди с голубыми глазами более чувствительны к боли, чем все остальные.

48. Hогти на пальцах руки растут примерно в 4 раза быстрее, чем на ногах.

49. За время жизни кожа человека сменяется примерно 1000 раз.

50. Существует более 100 различных вирусов, вызывающих насморк.

51. Ударяясь головой об стену можно терять 150 калорий в час.

52. В теле взрослого человека около 75 километров (!) нервов.

53. Булемия - это неукротимый аппетит.

54. Партенофобия - это боязнь девственниц.

 
У вас
marishkaДата: Вторник, 13.04.2010, 16:17 | Сообщение # 2
Почетный автор
Группа: Проверенные
Сообщений: 177
Репутация: 36
Статус: Offline
55) Чувство усталости появляется при нагрузках 35-65% от абсолютных возможностей.

56) Активность сердечнососудистой системы максимальна к 18 часам, минимальна в 3-4- часа.

57) Биологические качества потомства возрастают от 1-го к 4-му ребёнку, потом падает.

58) Здоровье не только физическая сила, но и душевное милосердие.

59) Продолжительность вдоха/выдоха при обычном дыхании – 4:5, при игре на музыкальном инструменте – 1:20.

60) Состав плазмы крови напоминает состав воды доисторических праморей, в которых зародилась жизнь.

61) За одно сокращение сердце перекачивает 200мл. крови.

62) Полное обращение крови взрослого человека совершается за 20-28 секунд, у ребенка – за 15 секунд, у подростка – за 18 секунд. За сутки кровь вращается по телу 1,5-2 тысячи раз.

63) В 1 кубическом миллиметре кожи – 40 капилляров, в мышцах – 2500 капилляров, в сердечной мышце – 4000 капилляров.

64) Три силовых занятия в неделю дают наибольший эффект.

65) Норма двигательной активности – 7-10 км (10000-14000 шагов).

66) Для молодого человека норма энергозатраты 3000 ккал. Из них 1700 – основной обмен веществ, 170 – пищеварение, и 1130 на мышечную работу.

67) Длина волос на голове, отращиваемых в среднем человеком в течение жизни – 725 километров.

68) Ногти на пальцах руки растут примерно в 4 раза быстрее, чем на ногах.

69) За сутки человек выделяет столько тепла, что его хватит, чтобы довести до кипения 33 литра ледяной воды.

70) Подсчитано, что человек за всю жизнь потребляет 2,5 т белка, 1,3 т жира, 17,5 т углеводов и 75 т воды.

71) Человек, который выкуривает пачку сигарет в день, выпивает полчашки смолы в год.

72) По твердости зубную эмаль можно сравнить с кварцем. Известно, что даже острие сабли при ударе об эмаль тупится.

73) На 1 квадратном сантиметре кожи находится 100 болевых точек, а всего их на поверхности около миллиона.

74) В головном мозге человека за одну секунду происходит 100 000 химических реакций.

tokarevs.ru


Сообщение отредактировал marishka - Вторник, 13.04.2010, 16:41
 
У вас
GruzeirroДата: Вторник, 13.04.2010, 16:32 | Сообщение # 3
Заслуженный мастер
Группа: Проверенные
Сообщений: 276
Репутация: 72
Статус: Offline
marishka, спасибо за дополнение)

Сообщение отредактировал Gruzeirro - Вторник, 13.04.2010, 16:43
 
У вас
marmelato4kaДата: Вторник, 13.04.2010, 16:50 | Сообщение # 4
Почетный автор
Группа: Проверенные
Сообщений: 213
Репутация: 39
Статус: Offline
Quote (marishka)
В головном мозге человека за одну секунду происходит 100 000 химических реакций.


Уверенна, что далеко не у всех такой трудолюбивый головной мозг.
 
У вас
marishkaДата: Вторник, 13.04.2010, 16:58 | Сообщение # 5
Почетный автор
Группа: Проверенные
Сообщений: 177
Репутация: 36
Статус: Offline
Quote (marmelato4ka)
Уверенна, что далеко не у всех такой трудолюбивый головной мозг.

smile Возможно Вы и правы smile Но всё же человеческий мозг "творит" чудеса smile

 
У вас
marmelato4kaДата: Вторник, 13.04.2010, 17:05 | Сообщение # 6
Почетный автор
Группа: Проверенные
Сообщений: 213
Репутация: 39
Статус: Offline
Quote (marishka)
Но всё же человеческий мозг "творит" чудеса

Да. Это так. Но не думаю, что у всех количество этих химических процессов одинаково. Это наверное, средний показатель.
 
У вас
GruzeirroДата: Вторник, 13.04.2010, 17:12 | Сообщение # 7
Заслуженный мастер
Группа: Проверенные
Сообщений: 276
Репутация: 72
Статус: Offline
Quote (marmelato4ka)
что у всех количество этих химических процессов одинаково

Люди вообще могут жить и думать без мозга! У меня знакомый когда в армии служил, у них офицер один решил покончить с собой, из-за семейных проблем, взял пистолет и выстрелил себе в висок, пуля прошла на вылет, но офицер не умер, его доставили в реанимацию, и когда врачи сделали ренген черепа, они ошалели, у офицера не было мозга, череп был полностью пустым, о дальнейшей судьбе этого офицера я не знаю.

Люди без мозга

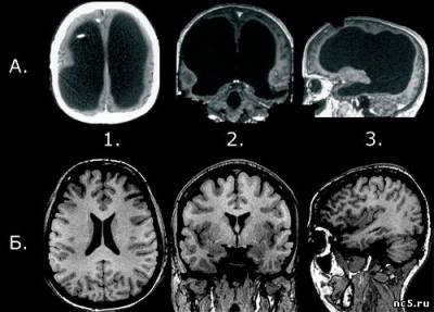
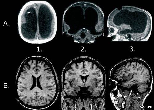
Совсем недавно, в июле 2007 года в авторитетнейшем медицинском научном журнале The Lancet была опубликована небольшая статья «Мозг клерка». В ней рассказывалось о поразительном случае гидроцефалии у одного 44-летнего французского государственного служащего. Однажды этот человек обратился в госпиталь Марселя с жалобами на слабость своей левой ноги, однако когда ему сделали томографию мозга, то врачи, увидевшие снимки, были шокированы. Оказалось, что желудочки мозга этого клерка были так расширены, что занимали практически всю полость черепа. Тем не менее, хотя почти три четверти головного мозга отсутствовали, этот человек жил (да и сейчас живёт) вполне нормальной жизнью.

Удивительно, не правда ли? Ещё более удивительно, что подобные случаи не редкость...


Сравнение мозга клерка из Марселя (в верху) с мозгом нормального человека (внизу):
1. Аксиальный срез (вид сверху);
2. Фронтальный срез (вид спереди);
3. Сагиттальный срез (вид сбоку).
Снимок 1А сделан при помощи компьютерной томографии (КТ), остальные — при помощи магнитно-резонансной томографии (МРТ).
Прикрепления: 3676927.jpg (40.7 Kb)


Сообщение отредактировал Gruzeirro - Вторник, 13.04.2010, 17:13
 
У вас
yulianaNДата: Понедельник, 30.08.2010, 11:14 | Сообщение # 8
Почетный автор
Группа: Проверенные
Сообщений: 240
Репутация: 0
Статус: Offline
Quote (marmelato4ka)
Удивительно, не правда ли? Ещё более удивительно, что подобные случаи не редкость...

Почему то уверена, что не редкость. Наверное если бы делали тотальную томографию, ученые были бы удивлены ее результатами. Судя по поступкам многие у нас не имеют мозгов.
 
У вас
  • Страница 1 из 1
  • 1
Поиск:


Copyright by Shel © 2026